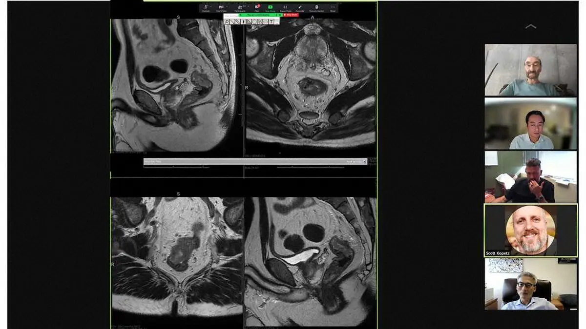
テレビ電話を用いた他科合同の症例検討会 Photo by 提供写真 各科のエキスパートが経験と知識持ちあう多科合同の症例会議 チーム医療… 2023年09月04日の画像一覧 もっと見る 2023年09月04日の画像をもっと見る